
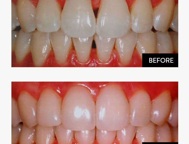
Composite bonding is a minimally invasive way of improving the shape, colour and appearance of the teeth and can be completed on the same day.

Bonding is usually used for filling chips, fractures, or gaps between teeth, or for fixing discoloration. A composite resin is attached to a tooth and shaped to restore its original appearance. The color of the resin is matched to your teeth, so it will appear as though it is a natural part of the tooth.

Composite bonding can make cosmetic improvements to your smile quickly, without causing further damage to your teeth.
Composite bonding can be an alternative to crowns or veneers and with regular brushing and good oral hygiene, your composite bonds should last for years.
Composite bonding can usually be carried out in just one visit to the dentist. It’s a fast and effective way to fix minor cosmetic issues. The composite is hardened using UV light as soon as it’s applied, resulting in a tooth that can comfortably bite down by the end of the appointment.
Bonding is also a non-invasive procedure. With alternatives such as crowns and veneers, part of the tooth is permanently removed. For composite bonding to be applied, the surface of the tooth only has to be roughened to help the resin to bond, meaning the structure of the tooth remains intact.

Composite bonding can help you achieve a smile you’re happier with.

Book a visit to the Woodlands Dental Clinic, simply fill out the form below and we will contact you back regarding the intervention you require.